Comment ça fonctionne ?

Invisalign fonctionne à l’aide de gouttières transparentes et sur mesure, conçues pour déplacer progressivement vos dents vers leur position idéale. Chaque série de gouttières est portée pendant 7 jours, avant de passer à la suivante. Ces gouttières sont fabriquées grâce à une technologie de pointe, qui permet de planifier précisément chaque mouvement dentaire à partir du modèle numérique de vos dents. Tout au long du traitement, vous bénéficiez d’un suivi personnalisé pour garantir un résultat optimal et un sourire esthétique et fonctionnel.

Combien de temps dure le traitement?

La durée du traitement Invisalign varie selon la complexité de chaque cas. En moyenne, il dure entre 18 et 24 mois, mais cela peut être plus court ou plus long en fonction de la situation dentaire individuelle. Un suivi régulier permet de s’assurer que les dents se déplacent comme prévu et que le traitement progresse efficacement. Un calendrier personnalisé vous sera donné lors de votre consultation initiale pour vous offrir une estimation précise du temps nécessaire pour obtenir les résultats souhaités.

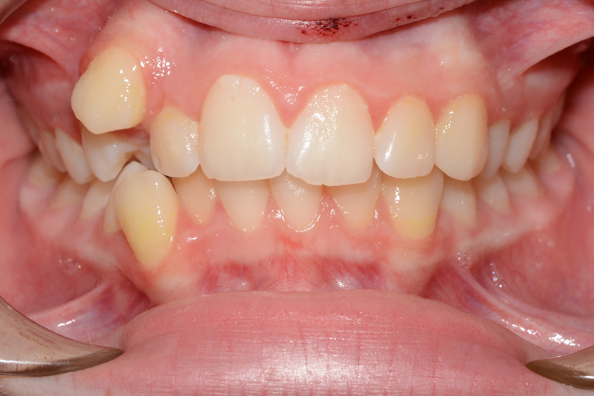
Cas Invisalign
Évolution du sourire

Patiente de 13 ans présentant un chevauchement modéré et une canine ectopique, traitée en 18 mois avec les coquilles amovibles.

Avant

Après

Ce traitement vous intéresse?