Traitement orthodontique
chez l’adulte

Les traitements orthodontiques ne sont pas réservés aux enfants et adolescents. De plus en plus d’adultes choisissent l’orthodontie pour corriger des malocclusions affectant leur sourire ou leur fonction masticatoire. Des solutions discrètes comme Invisalign ou des boîtiers transparents permettent d’obtenir des résultats efficaces sans les broches visibles. Que ce soit pour des raisons esthétiques ou fonctionnelles, l’orthodontie adulte offre des options modernes et confortables pour un sourire harmonieux à tout âge.

Cas
Transformation du sourire

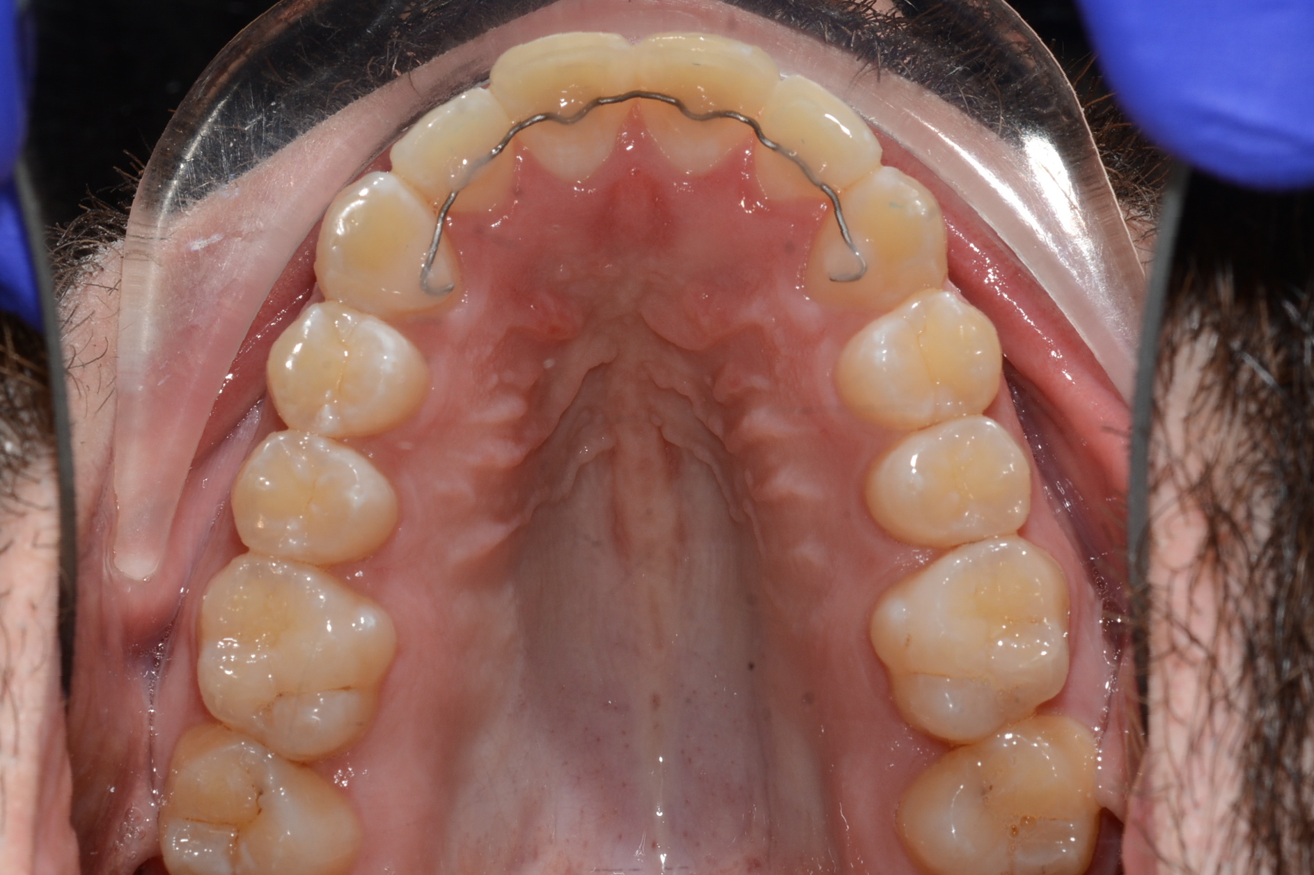
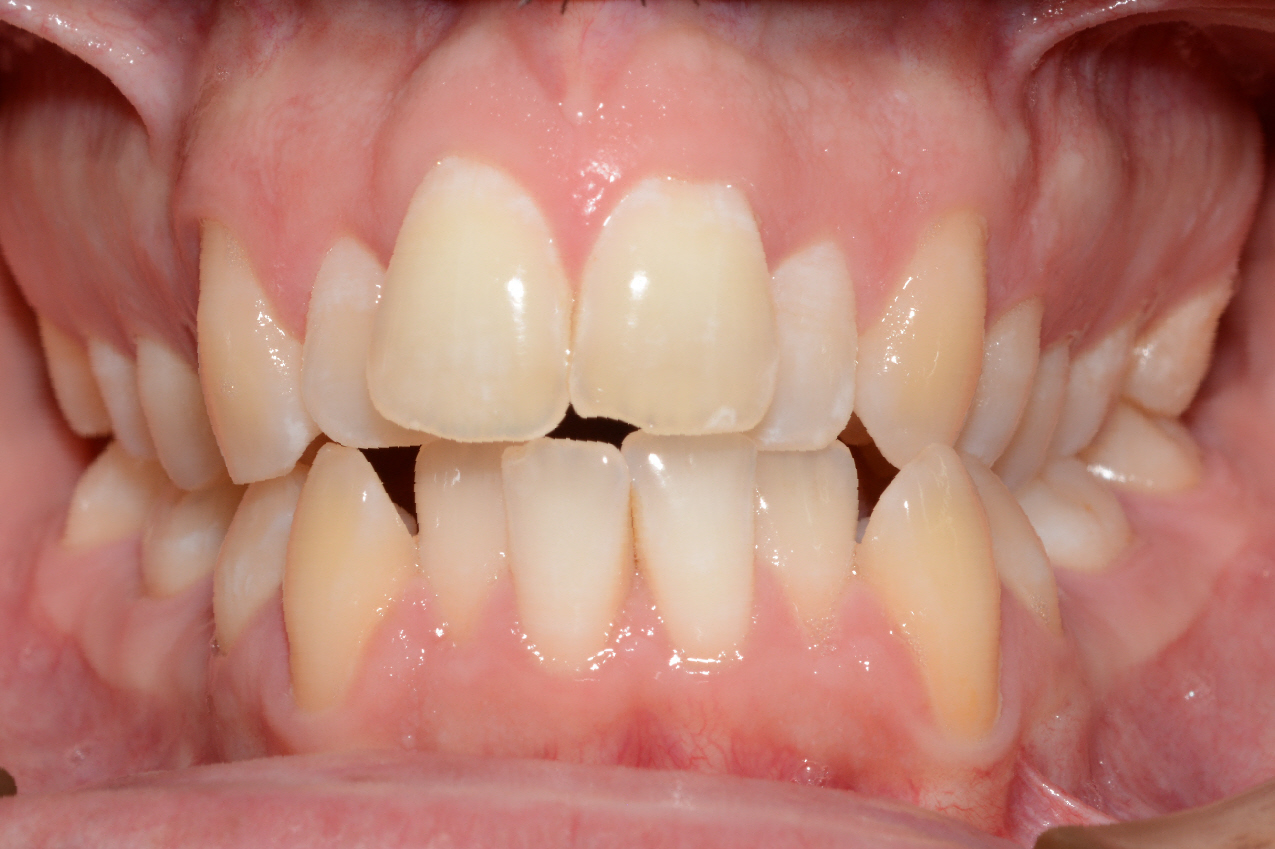
Jeune homme dans la trentaine présentant des arcades très étroites et un chevauchement modéré. Il a été traité en 24 mois avec des gouttières transparentes.

Avant

Après

Cas
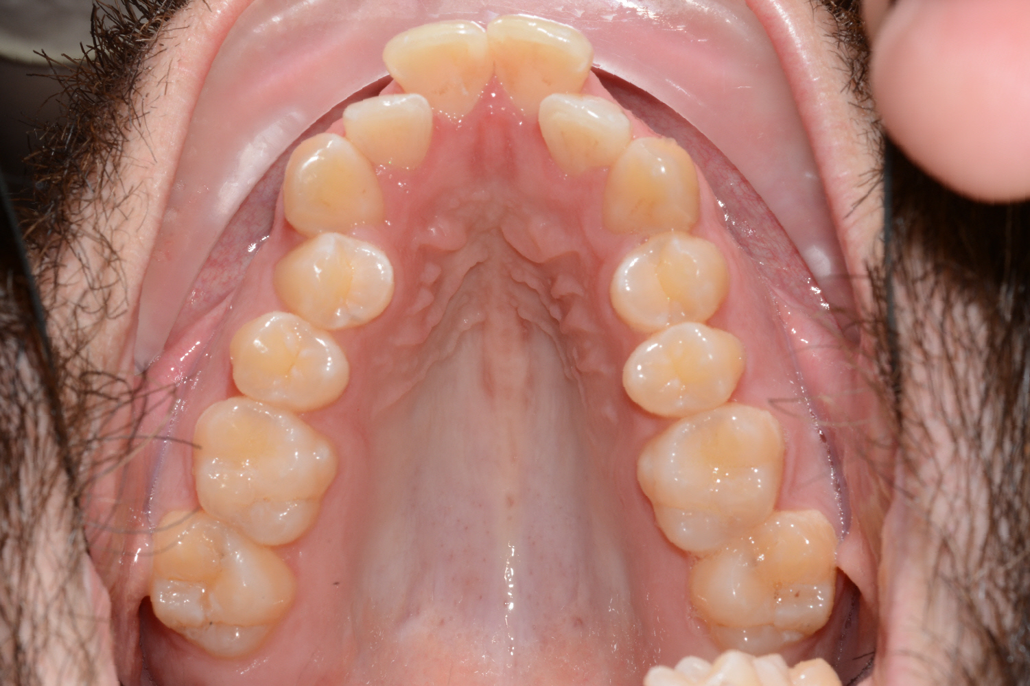
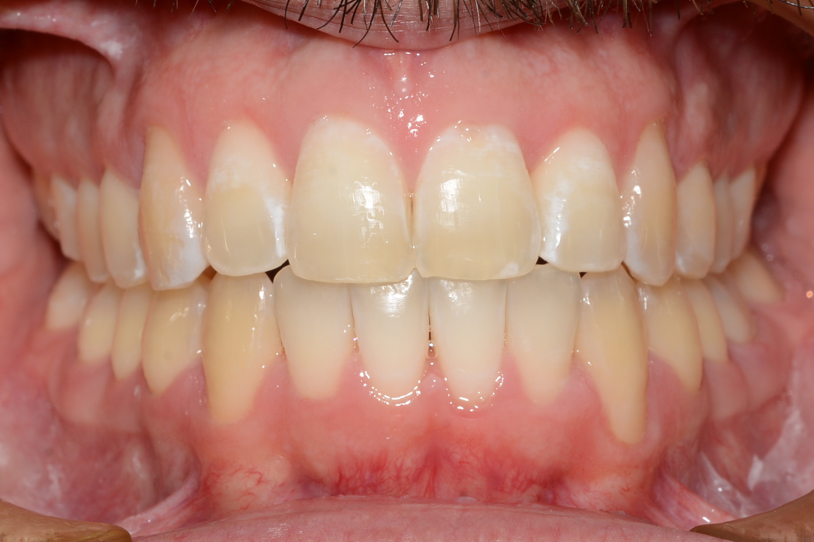
Transformation du sourire

Jeune homme dans la trentaine présentant des arcades très étroites et un chevauchement modéré. Il a été traité en 24 mois avec des gouttières transparentes.

Avant

Après

VOUS AVEZ DES QUESTIONS
SUR NOS TRAITEMENTS ?