Traitement interceptif
chez l’enfant

Le traitement interceptif est une première étape importante en orthodontie, particulièrement chez les enfants. Bien que l’orthodontie puisse améliorer le sourire à tout âge, il est recommandé de faire une première évaluation vers l’âge de 7 ou 8 ans, lorsque les premières dents permanentes apparaissent et que les signes de malocclusion se manifestent. Cette évaluation précoce permet de repérer et d’intercepter certains problèmes de développement, réduisant ainsi le risque de traitements plus complexes, comme des extractions ou des chirurgies à l’âge adulte. Le traitement chez l’enfant comprend souvent une première phase, suivie d’une phase complémentaire à l’adolescence.

Cas
Résultats du traitement interceptif

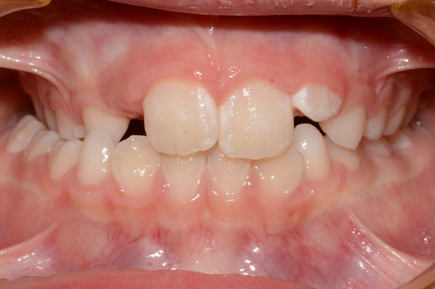
Jeune patient de 8 ans présentant un articulé croisé postérieur unilatéral. Le patient a été traité avec un appareil d’expansion palatine et n’a pas eu besoin de d’autres traitements par la suite.

Avant

Après

VOUS AVEZ DES QUESTIONS
SUR NOS TRAITEMENTS?