Traitement ortho-chirurgie

Dans certains cas de malocclusion sévère, un traitement orthodontique seul ne suffit pas. Pour corriger les problèmes dentaires et squelettiques, une intervention chirurgicale des mâchoires peut être nécessaire. Nous travaillons en étroite collaboration avec des chirurgiens buccaux et maxillo-faciaux spécialisés, afin de garantir une correction complète et fonctionnelle. Ce traitement combine la précision de l’orthodontie et l’expertise chirurgicale pour offrir des résultats optimaux, tant sur le plan esthétique que fonctionnel, améliorant ainsi la qualité de vie de nos patients.

 

Cas
Résultats de l’ortho-chirurgie

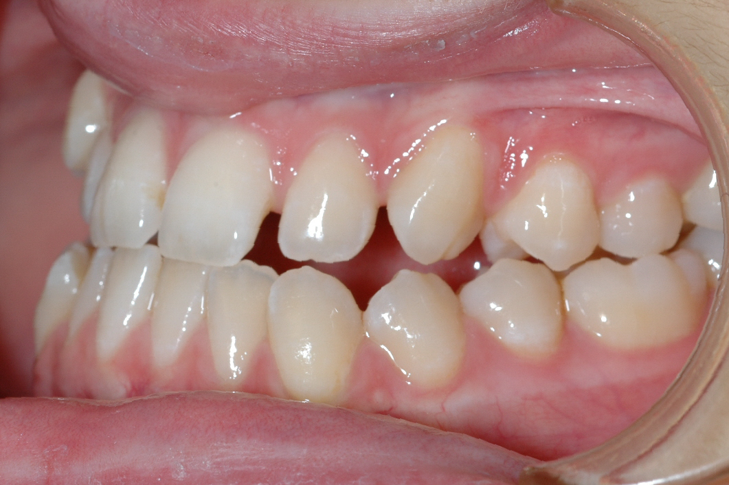
Jeune femme adulte présentant une malocclusion classe III avec un recul sévère de la mâchoire supérieure. La patiente a choisi d’être traitée avec des appareils fixes (broches), mais les cas de chirurgie sont également possibles avec des gouttières amovibles. La durée du traitement a été de 26 mois.

Avant

Après

Cas
Résultats de l’ortho-chirurgie

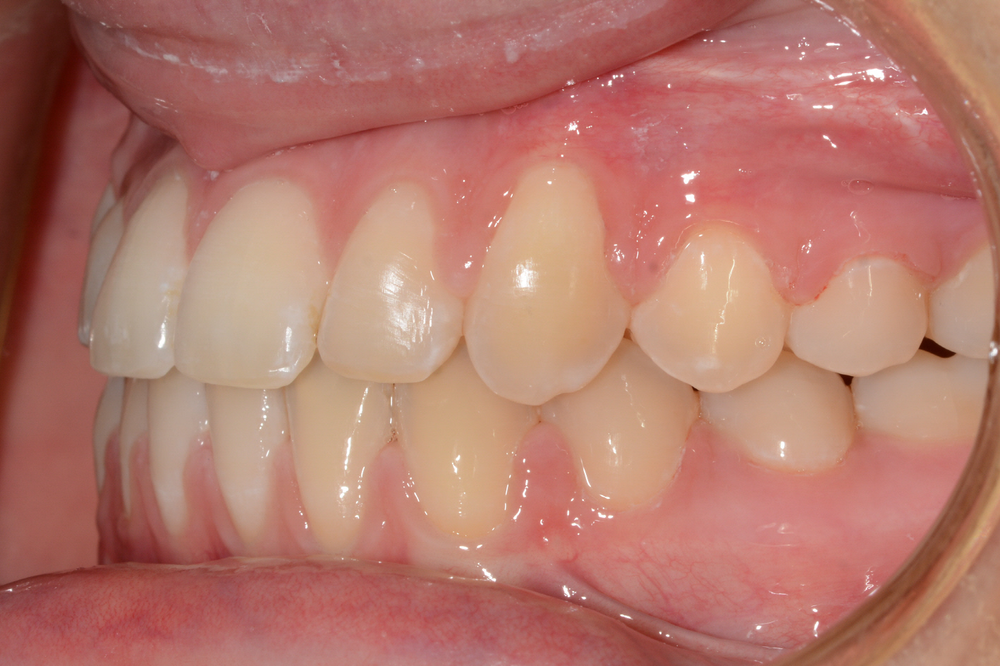
Jeune femme adulte présentant une malocclusion classe III avec un recul sévère de la mâchoire supérieure. La patiente a choisi d’être traitée avec des appareils fixes (broches), mais les cas de chirurgie sont également possibles avec des gouttières amovibles. La durée du traitement a été de 26 mois.

Avant

Après

VOUS AVEZ DES QUESTIONS
SUR NOS TRAITEMENTS ?